免费咨询热线:
02352999120


拔牙是一项常见的口腔手术,虽然现代医疗技术已经使拔牙过程变得更加安全和舒适,但术后的饮食护理仍然至关重要。合理的饮食不仅有助于缓解疼痛,还能加速伤口愈合,预防感染。这就给朋友们详细介绍拔牙后的饮食注意事项,帮助大家科学恢复。

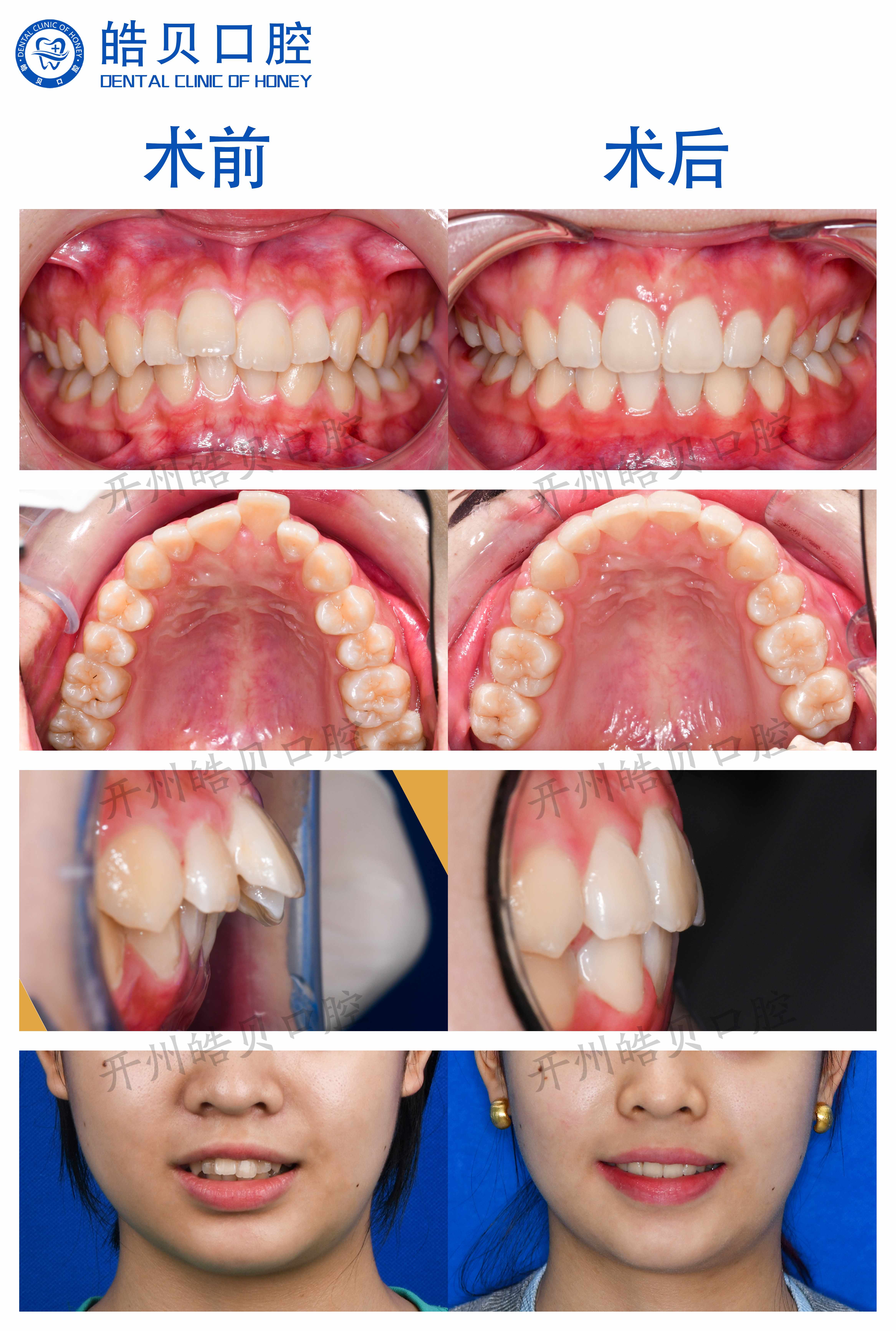
妹妹牙齿前突,俗称“龅牙”,侧面看嘴巴鼓鼓的,家长带到我门诊二楼正畸科矫正,现在牙齿整齐内收,侧脸线条也更加协调了!

虽然只有几颗牙的调整:但是变化可不止一点:还记得妹妹最开始说话都捂着嘴巴现在的她可以放心大胆的笑啦

春回大地,万物竞发。由开州区皓贝口腔医院独家冠名赞助的开州区首届“皓贝口腔”杯乒乓球团体邀请赛,圆满成功。

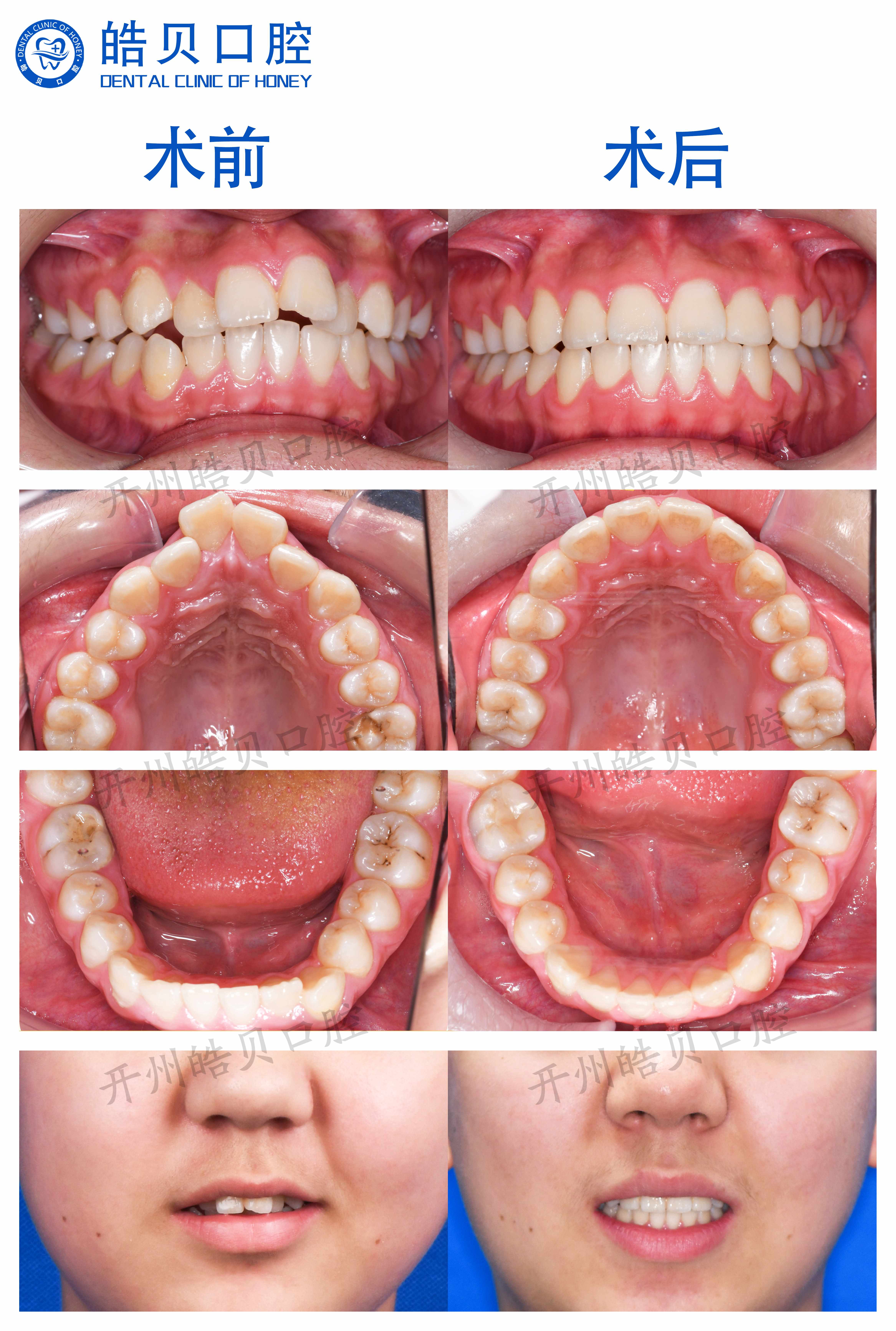
矫正改变的不止是牙齿,更是自信心的提升。从担心露牙,到自然微笑,这是矫正带来的变化

牙齿有缝隙?缺损?牙齿贴面了解一下,与邻牙和谐统一,自然美观